Легкие людей, которые переболели коронавирусной инфекцией, имеют больше рубцов и повреждений, чем легкие заядлых курильщиков.

Как пишет Тhe Sun, впечатляющими снимками поделилась доктор Бриттани Бэнкхед-Кендалл, доцент Центра медицинских наук Техасского технологического университета, которая вылечила тысячи пациентов с коронавирусом.

Одно изображение показывает нормальную здоровую пару легких, другое - легкие курильщика, а третье - легкие пациента с коронавирусом.

Продолжение после рекламы
РЕКЛАМА

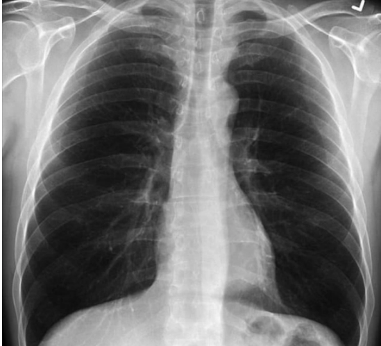
picture Легкие здорового человека

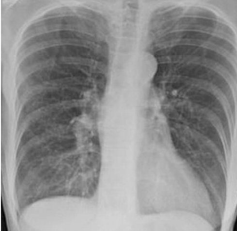
Нормальные легкие темные и прозрачные, на легких курильщика частично отмечены рубцами, в то время как легкие пациента с коронавирусом почти непрозрачны от повреждений.

picture Легкие курильщика

Продолжение после рекламы
РЕКЛАМА

"Легкие после коронавируса выглядят хуже, чем любой тип легких ужасного курильщика, который мы когда-либо видели. Они разрушаются. И они слипаются. И одышка сохраняется", - сказала доктор.

picture Легкие человека, перенесшего коронавирус

Бриттани Бэнкхед-Кендалл подчеркнула, что разрушительное действие Covid-19 на легкие заметно даже у тех пациентов, кто перенес его в легкой форме.

Она добавила, что пока неизвестно, заживут ли когда-либо рубцы, вызванные коронавирусом, но каждый, кто испытывает стойкую одышку, должен поговорить об этом со своим врачом.

Как сообщал "Апостроф", заведующая инфекционным отделением Киевской городской клинической больницы № 17 Светлана Гук рассказала, что после перенесенного COVID-19 легкие человека получают тяжелые поражения и могут больше не восстановиться никогда.

Завантаження...