Японские медики вернули пациентке возможность дышать, проведя уникальную операцию по пересадке легких. Этот случай уникален тем, что казался безнадежным: женщина не могла самостоятельно дышать после перенесенного в тяжелой форме коронавируса.

Об этом сообщает CNN.

picture

Продолжение после рекламы
РЕКЛАМА

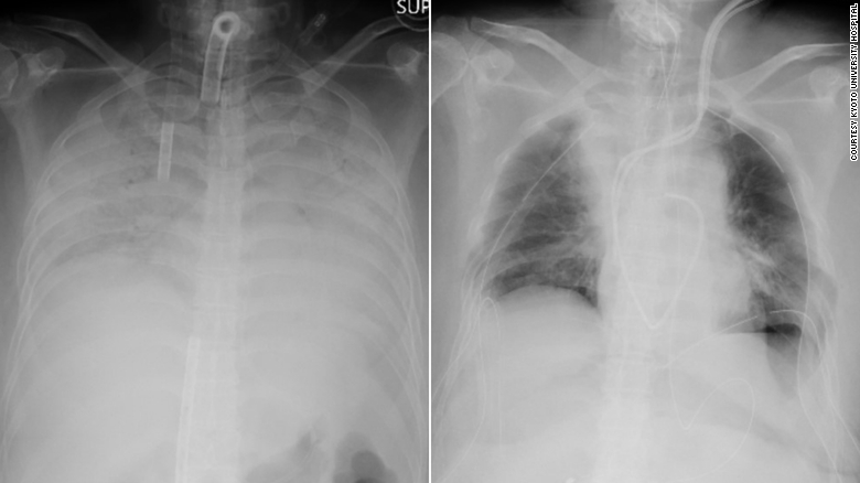
В среду, 7 апреля, группа из 30 медицинских специалистов Японии провела сложную операцию по пересадке легочной ткани. Операция длилась 11 часов. Донорами выступили супруг и сын пациентки. Операция проходила в медицинском учреждении, которое расположено в Киотском университете. По словам специалистов, это первый и единственный случай трансплантации легочной ткани от живых доноров.

picture

Женщина из западной части Японии заразилась коронавирусной инфекцией COVID-19 в конце 2020 года. Несколько месяцев пациентка находилась на аппарате, который не давал ей умереть. По словам специалистов, недуг настолько сильно повредил легкие пациентки, что они не могли нормально функционировать.

Продолжение после рекламы
РЕКЛАМА

Случай пациентки считали безнадежным, врачи думали, что здесь нельзя ничем помочь. Однако несколько научных экспертов предложили свою помощь, в итоге совместными усилиями ученых и медиков удалось достичь уникальных результатов.


Ранее подобную операцию пациентам с коронавирусом проводили в США. У этих пациентов была поражена значительная часть дыхательных органов Однако японские специалисты пошли еще дальше и взяли материал у живых доноров. Родственники женщины сами предложили свои услуги. Сейчас супруг и сын пациентки в стабильном состоянии, а сама женщина все еще лежит в реанимации. Если восстановление пройдет по плану, женщина сможет быть выписана из медицинского учреждения уже в июне.

Как писал "Апостроф" ранее, на операционный стол к хирургам чаще стали попадать люди с массивным кровотечением, которые ранее переболели коронавирусом.

Завантаження...