Японські медики повернули пацієнтці можливість дихати, провівши унікальну операцію з пересадки легенів. Цей випадок унікальний тим, що здавався безнадійним: жінка не могла самостійно дихати після перенесеного у важкій формі коронавіруса.

Про це повідомляє CNN.

picture

Продовження після реклами
РЕКЛАМА

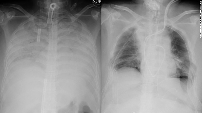
У середу, 7 квітня, група з 30 медичних фахівців Японії провела складну операцію з пересадки легеневої тканини. Операція тривала 11 годин. Донорами виступили чоловік і син пацієнтки. Операція проходила в медичному закладі, який розташований в Кіотському університеті. За словами фахівців, це перший і єдиний випадок трансплантації легеневої тканини від живих донорів.

picture

Жінка із західної частини Японії заразилася коронавірусною інфекцією COVID-19 в кінці 2020 року. Кілька місяців пацієнтка перебувала на апараті, який не давав їй померти. За словами фахівців, хвороба настільки сильно пошкодила легені пацієнтки, що вони не могли нормально функціонувати.

Продовження після реклами
РЕКЛАМА

Випадок пацієнтки вважали безнадійним, лікарі думали, що тут не можна нічим допомогти. Однак кілька наукових експертів запропонували свою допомогу, в результаті спільними зусиллями вчених і медиків вдалося досягти унікальних результатів.


Раніше подібну операцію пацієнтам з коронавірусом проводили в США. У цих пацієнтів була вражена значна частина дихальних органів. Однак японські фахівці пішли ще далі, і взяли матеріал у живих донорів. Родичі жінки самі запропонували свої послуги. Зараз чоловік і син пацієнтки в стабільному стані, а сама жінка все ще лежить в реанімації. Якщо відновлення пройде за планом, жінка може бути виписана з медичного закладу вже в червні.

Як писав "Апостроф" раніше, на операційний стіл до хірургів частіше стали потрапляти люди з масивною кровотечею, які раніше перехворіли на коронавірус.

Завантаження...