Дослідницький центр "Фонд Освальдо Круза" в Латинській Америці показав детальні фото моменту зараження клітини здорового організму смертельним коронавірусом.

Коронавірус вбив понад 95 тис. осіб: що відбувається в Україні і світі (оновлюється)

Фотографії вдалося зробити завдяки трансмісійному електронному мікроскопу під час досліджень вірусної реплікації SARS-CoV-2.

Продовження після реклами
РЕКЛАМА

На першій фотографії можна розглянути темне коло в центрі - це вірусна частка, яка "проминає" клітинну мембрану.

picture

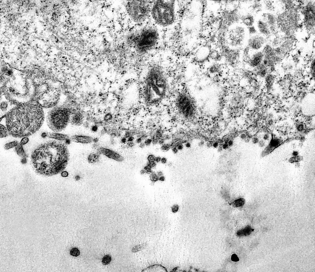
На другому знімку темні плями вздовж мембрани - це частинки коронавірусу, які намагаються заразити цитоплазму клітини.

Продовження після реклами
РЕКЛАМА

picture

На третій фотографії видно, як вірусні частинки виглядають після проникнення в клітину і реплікації всередині неї. Це помітно на білому колі в лівому нижньому кутку.

picture

Нагадаємо, що вчені з Японії заявили, що новий коронавірус COVID-19 здатний вражати легені людини без явних симптомів - різкого підвищення температури, лихоманки і кашлю.