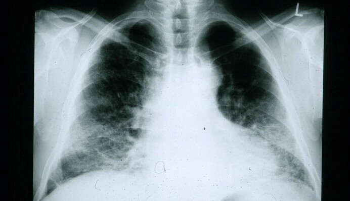
Люди, які сплять більше 11 годин на добу або навпаки - менше 4, утричі частіше хворіють на фіброз легень.

Про це інформує "Апостроф" із посиланням на Proceedings of the National Academy of Sciences.

Люди, які сплять занадто мало хворіють на цю недугу вдвічі частіше. А у любителів поспати до опівдня ризик захворіти збільшується втричі. Вчені встановили, що уся справа у змінній експресії одного з так званих "годинникових генів" - REVERBα. Білок, який кодується цим геном, опосередковано впливає на синтез колагену мезенхімальними клітинами, що сприяє утворенню рубців.

Продовження після реклами
РЕКЛАМА

Фіброз - це стан, при якому у легенях розростається сполучну тканина. Нарости заважають органу виконувати свою основну функцію з перекачк повітря і розвивається легенева недостатність. Цей стан невиліковний. Раніше медики вважали, що фіброз провокують запалення, травми та інфекції. Але зараз вчені почали говорити вже про біологічні причини захворювання.

Як раніше писав "Апостроф", Кабінет міністрів визначив тарифи на послуги з трансплантації органів в Україні.

Продовження після реклами
РЕКЛАМА
Завантаження...