Команда з університету Сіднея виявила, що коні відчувають біль так само як і люди, у них немає суттєвої різниці в нервових закінченнях в зовнішньому шарі шкіри, що виявляє біль.

Про це повідомляє Daily Mail.

Дослідження показало, що биття коней під час скачок не покращує витривалість і керованість чистокровних коней, припускаючи, що це "непотрібно, невиправдано і необгрунтовано".

Продовження після реклами
РЕКЛАМА

Хоча у коней дійсно є товстий шар тканини на поверхні шкіри, дослідники говорять, що він недостатньо міцний, щоб захистити тварин від "зовнішнього шкірного болю".

"Це не дивно, оскільки коні, як і люди, мають потребу в міцній, але чутливій шкірі, щоб реагувати на дотики, скажімо, від літаючих комах або інших коней", - сказав професор МакГріві.

picture

Продовження після реклами
РЕКЛАМА

picture

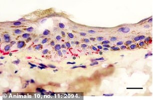
Команда використовувала зразки шкіри 10 мертвих людей і 20 приспаних коней. Результати показують, що немає суттєвої різниці в концентрації нервових закінчень у зовнішньому шарі шкіри, що визначає біль.

Зразки показали, що дерма шкіри коня тонша, ніж у людини, але в цій області не виявляється біль. І хоча шкура коня товща, вона не захищає від болю.

"Це відкриття ставить під сумнів припущення про фізичну здатність коней відчувати біль, особливо в порівнянні з людьми, і являє собою речовий доказ для обговорення етики биття коней", - написала команда в дослідженні.

У другому дослідженні з'ясовували, чи дійсно корисно бити коня. Команда не виявила "статистично значущої різниці" між ними, включаючи рух по маршруту, перешкоди, інциденти, пов'язані з жокеєм, і час гонки

"Неодноразові удари батогом стомлених коней після закінчення забігу можуть заподіяти страждання. Вважається, що втрата у коня свободи волі веде до придбаної безпорадності", - сказав МакГріві.

Раніше "Апостроф" повідомляв, що казки і стародавні легенди переконали людини в існуванні якогось особливого зв'язку з кіньми. Але вчені готові з цим сперечатися. Спостерігаючи за поведінкою коней, вони прийшли до висновку, що тварини дійсно відчувають особливе почуття до людини. Але це зовсім не любов.

Завантаження...