Вчені розповіли, що коронавірус вражає не тільки легені людини, а ще й кровоносні судини по всьому тілу.

Більшість країн ще чекає пік пандемії: як змінюється ситуація з коронавірусом в Україні та світі (оновлюється)

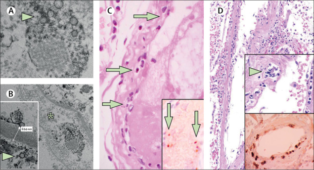
Свої висновки вчені опублікували в науковому журналі Lancet

Продовження після реклами
РЕКЛАМА

Автори помістили під електронний мікроскоп клітини кровоносних судин пацієнтів з COVID-19 і виявили в них сліди пошкоджень і вірусних частинок. Виявилося, що в першу чергу інфекція вражає ендотелій - захисну оболонку судин. Це призводить до порушень мікроциркуляції крові.

Судячи з усього, в кровоносних судинах вірус прикріплюється до тих же рецепторів ACE2, що і в легенях.

picture

Продовження після реклами
РЕКЛАМА

Результати дослідження пояснюють, чому у багатьох пацієнтів з COVID-19 виникають проблеми з серцем, нирками чи кишечником. Крім того, стає зрозуміло, чому люди, які страждають від серцево-судинних захворювань, наприклад, гіпертонії, знаходяться в групі підвищеної смертності від коронавірусу.

Як раніше повідомляв "Апостроф", раніше у Всесвітній організації охорони здоров'я заявили, що спалахи захворювань коронавірусною хворобою Covid-19 в більшості країн світу продовжаться.

Завантаження...