Главврач Днепропетровской областной клинической больницы имени Мечникова Сергей Рыженко рассказал о состоянии полицейских, подорвавшихся на мине на Донбассе.

Об этом Рыженко написал в Facebook.

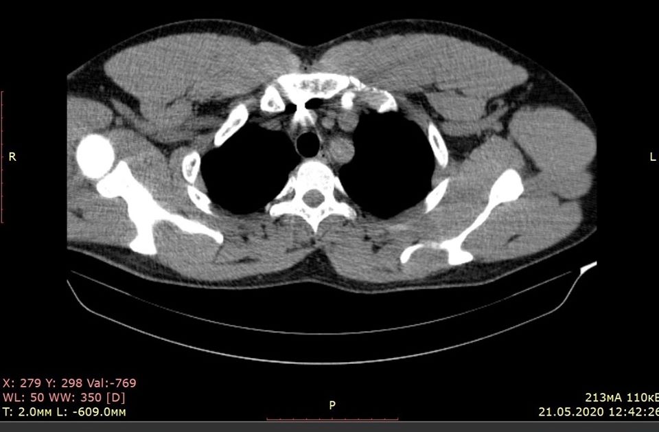
"На полдороги к бездне. Офицеры. Сергею 33. Его тело "нафаршировано" осколками. Взрыв противопехотной мины (черная вдова) забрал друга-командира (полковника полиции Сергея Губанова). Большой шрам на груди после операции - вечное напоминание о войне. Осколок лежал на аорте вблизи сердца. Лучшие торакальные хирурги Глеб Шкарупа и Андрей Снисарь провели блистательную операцию в больнице Мечникова", - отметил он.

Продолжение после рекламы
РЕКЛАМА

picture

Рыженко добавил, что боевой товарищ Сергея Владимир находится в этой же больнице с черепно-мозговой травмой.

"У него все обошлось проще: контузия, непроникающие ранения тела и конечностей", - сообщил главврач.

Продолжение после рекламы
РЕКЛАМА

Еще один полицейский, пострадавший при взрыве, находится на лечении в Харькове.

"Они настоящие полицейские. Командиры всех рангов беспокоятся за их выживание. Поддержка им очень важна. Сотни ребят МВД прошли через наши реанимации. Остались живы, называют больницу Мечникова сердцем выживания", - написал Сергей Рыженко.

Как сообщал "Апостроф", 22 мая в Луганской области прошла церемония прощания с погибшим от взрыва мины на Донбассе Героем Украины полковником полиции Сергеем Губановым.

Завантаження...