Головний лікар Дніпропетровської обласної клінічної лікарні імені Мечникова Сергій Риженко розповів про стан поліцейських, які підірвалися на міні на Донбасі.

Про це Риженко написав у Facebook.

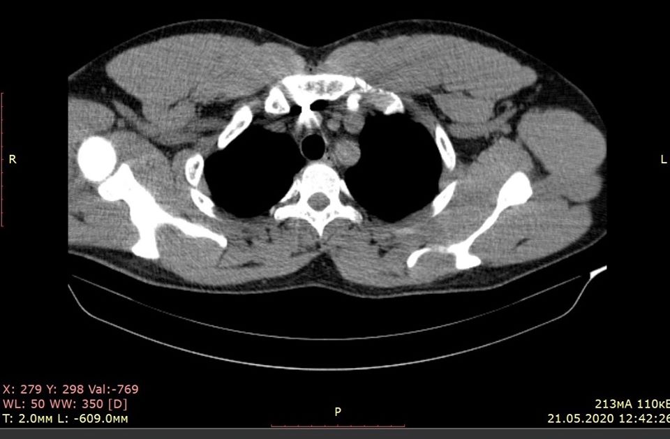
"На півдорозі до безодні. Офіцери. Сергію 33. Його тіло "нафаршироване" осколками. Вибух протипіхотної міни (чорна вдова) забрав друга-командира (полковника поліції Сергія Губанова). Великий шрам на грудях після операції - вічне нагадування про війну. Осколок лежав на аорті поблизу серця. Кращі торакальні хірурги Гліб Шкарупа та Андрій Снісарь провели блискучу операцію в лікарні Мечникова", - зазначив він.

Продовження після реклами
РЕКЛАМА

picture

Риженко додав, що бойовий товариш Сергія Володимир знаходиться в цій же лікарні з черепно-мозковою травмою.

"У нього все обійшлося простіше: контузія, непроникаючі поранення тулуба та кінцівок", - повідомив головлікар.

Продовження після реклами
РЕКЛАМА

Ще один поліцейський, який постраждав під час вибуху, знаходиться на лікуванні у Харкові.

"Вони справжні поліцейські. Командири всіх рангів турбуються за їх виживання. Підтримка їм дуже важлива. Сотні хлопців МВС пройшли через наші реанімації. Залишилися живі, називають лікарню Мечникова серцем виживання", - написав Сергій Риженко.

Як повідомляв "Апостроф", 22 травня в Луганській області пройшла церемонія прощання із загиблим від вибуху міни на Донбасі Героєм України полковником поліції Сергієм Губановим.

Завантаження...