Польские исследователи при помощи компьютерной томографии установили, что древнеегипетская мумия, хранящаяся в Национальном музее в Варшаве, является беременной женщиной.

Об этом исследовании сообщает издание Nauka w Polsce.

Эта мумия была найдена в Фивах и датируется I веком до нашей эры. Долгое время она считалась мумией древнеегипетского священника по имени Гор-Джехути.

Продолжение после рекламы
РЕКЛАМА

Однако компьютерное сканирование принесло сенсационный результат - оказалось, что в гробнице была похоронена женщина, которая вынашивала ребенка.

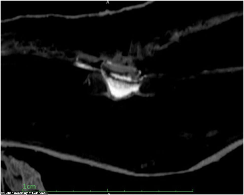
"Мы уже собирались подвести итоги проекта и отправить публикацию в печать. Мой муж Станислав решил в последний раз взглянуть на рентгеновские снимки, и мы увидели в животе умершей женщины знакомую, как родителям троих детей, картину - маленькую ножку", - сообщила доктор Маржена Ожарек-Шилке, антрополог и археолог, соавтор исследования.

Ученые использовали множество различных фильтров, чтобы изучить мумию сканером, не дотрагиваясь до нее. Было установлено, что женщина находилась примерно на 26-28 неделе беременности, плод находится в положении эмбриона, пол ребенка определить не удалось.

Продолжение после рекламы
РЕКЛАМА

picture

picture

picture

picture

По словам ведущего автора исследовательской работы доктора Войцеха Эйсмонда из Института средиземноморских и восточных культур Польской академии наук, ранее науке не было известно ни одного факта захоронения беременной женщины.

Теперь ученые пытаются разгадать тайну смерти этой женщины и почему плод не был извлечен во время мумификации.


Доктор Эйсмонд предполагает, что беременность могла каким-то образом повлиять на смерть молодой женщины."Ни для кого не секрет, что смертность во время беременности и родов в то время была высокой", - отметил он.

Как сообщал "Апостроф", исследование мумии фараона верхнего Египта Секененра Таа II с помощью компьютерного томографа подтверждает данные египетских хроник о его казни на поле боя во время войны с гиксосами, которые захватили страну в 17-16 веках до нашей эры

Завантаження...