Польські дослідники за допомогою комп'ютерної томографії встановили, що давньоєгипетська мумія, що зберігається в Національному музеї у Варшаві, є вагітною жінкою.

Про це дослідження повідомляє видання Nauka w Polsce.

Ця мумія була знайдена в Фівах і датується I століттям до нашої ери. Довгий час вона вважалася мумією давньоєгипетського священика на ім'я Гор-Джехуті.

Продовження після реклами
РЕКЛАМА

Однак комп'ютерне сканування принесло сенсаційний результат - виявилося, що в гробниці була похована жінка, яка виношувала дитину.

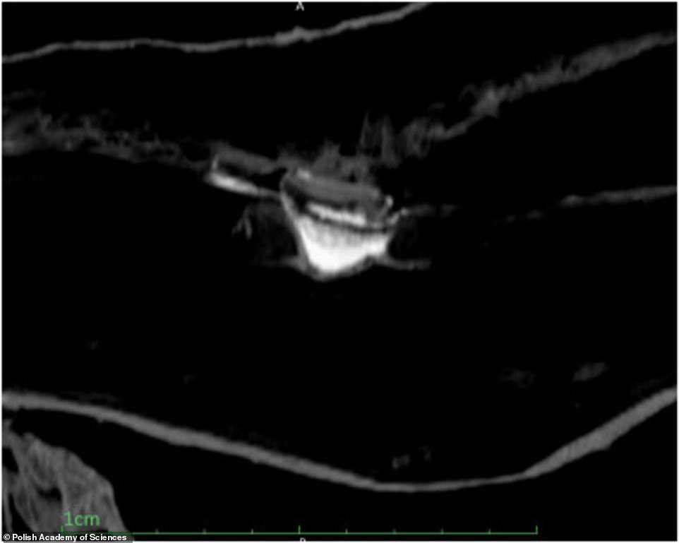
"Ми вже збиралися підвести підсумки проекту та відправити публікацію до друку. Мій чоловік Станіслав вирішив востаннє глянути на рентгенівські знімки, і ми побачили в животі померлої жінки знайому, як батькам трьох дітей, картину - маленьку ніжку", - повідомила доктор Маржена Ожарек-Шілке, антрополог і археолог, співавтор дослідження.

Вчені використовували безліч різних фільтрів, щоб вивчити мумію сканером, не торкаючись до неї. Було встановлено, що жінка перебувала приблизно на 26-28 тижні вагітності, плід знаходиться в положенні ембріона, стать дитини визначити не вдалося.

Продовження після реклами
РЕКЛАМА

picture

picture

picture

picture

За словами провідного автора дослідницької роботи доктора Войцеха Ейсмонда з Інституту середземноморських і східних культур Польської академії наук, раніше науці не було відомо жодного факту поховання вагітної жінки.

Тепер вчені намагаються розгадати таємницю смерті цієї жінки і чому плід не був витягнутий під час муміфікації.


Доктор Ейсмонд припускає, що вагітність могла якимось чином вплинути на смерть молодої жінки. "Ні для кого не секрет, що смертність під час вагітності та пологів в той час була високою", - зазначив він.

Як повідомляв "Апостроф", дослідження мумії фараона верхнього Єгипту Секененра Таа II за допомогою комп'ютерного томографа підтверджує дані єгипетських хронік про його страту на поле бою під час війни з гіксосами, які захопили країну в 17-16 століттях до нашої ери

Завантаження...